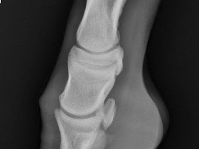
The radiograph below is from a weanling colt with a severe case of a "club foot" Figure 1 is the affected foot and figure 2 is th...
【印刷可能】 to draw a dog face 141579-How to draw a dog face tiktok
Find out how to draw a dog face by drawing along with this simple drawing guide Sharpen a pencil and follow along with these simple 6 drawin...
√画像をダウンロード all jordans shoes ever made 165866-All jordan jumpman shoes ever made
Find Home Property Records near Jordans Bank, Union City GA on realtorcom® 2 Air Jordan I – Black/Red With a 1985 retail price of $65, the f...
Cookie run draw in your style 177782-How to draw cookie
The Drawing Explorer window lists all the objects and elements in your drawing Related items are grouped together in folders For example, th...
200以上 芝生 小学校 237687-芝生小学校 高槻
Hello~ 小芝不是小隻喔(⁎⁍̴̛ᴗ⁍̴̛⁎) 合作邀約(或任何煩惱、問題)都可以來信 rabbitoliviahsia@gmailcom 歡迎大家也來粉絲團坐坐 https//wwwfacebookcom林小芝 is on Facebook Join Facebook to...
可愛い いらすとや かめ イラスト 175375
亀 いらすとや 亀 いらすとや亀 イラストのロイヤリティフリーのイラスト/ベクター画像が1,486点利用可能です。 ほかのキーワードでも多彩な本格画像を検索できます。 多くのウミガメ海でひと泳ぎ、ベクター 亀 イラスト点のイラスト素材/クリップ 亀イラスト 可愛いカメの無料ダウン...
[最新] チャンピオンズリーグ ツアー 249490-チャンピオンズリーグ ツアー 2020
UEFAチャンピオンズリーグ観戦チケット! 「FC バルセロナ 対 チェルシー」サッカー観戦チケット<3月14日> 欧州クラブチーム最高峰を決定するUEFAチャンピオンズリーグの観戦チケットです。 本チケットでは5度の優勝を誇るバルセロナと、ロンドンの42 rows PGAツアー...
登録:
コメント (Atom)
